Who We Treat

 

 

 

 

 

Everyone is invited at Greater Oklahoma Orthodontics! We're not your run-of-the-mill orthodontic crew – we're a team ready to move! Wherever you are in Oklahoma, you can count on us to bring our expertise directly to you, blending innovation with a big ol' dose of compassion to give you an orthodontic experience like no other.

Kids

Just when you think life can't get any better, a child smiles!

Early intervention can pave the way for a lifetime of healthy smiles. Orthodontic treatment in children typically involves two main stages: Early Interceptive Treatment or Phase 1, and Comprehensive or Phase 2.

Orthodontic treatment in kids is a carefully orchestrated process that aims to address issues at the appropriate stages of dental development. By intervening early and guiding dental growth and alignment, orthodontists can help children achieve healthy, beautiful smiles and avoid more complex problems in the future.

 

 

Phase One:

Setting the Proper Foundation Early

This stage focuses on identifying and addressing orthodontic issues at an early age, often around 7 to 10 years old, when a child still has a mixed dentition. Early interceptive treatment (or Phase 1 treatment) aims to guide the growth and development of the jaws, teeth, and facial structures to prevent or minimize more severe orthodontic problems later on with an ultimate aim to create a stable foundation for future comprehensive orthodontic care (Phase 2). Common issues addressed during this stage may include overcrowding, crossbites, thumb sucking habits, or protruding front teeth. Orthodontic appliances such as limited braces, expanders or space maintainers may be used during early interceptive treatment to create space, correct bite discrepancies, or modify oral habits.

Phase Two:

Building Off Early Interceptive Treatment

Phase 2 orthodontic treatment occurs once most or all of the permanent teeth have erupted, usually around ages 11 to 13. This stage builds upon the foundation established during Phase 1 and focuses on fine-tuning the alignment of the permanent teeth to achieve an ideal bite and smile. Phase 2 treatment often involves comprehensive braces or clear aligner therapy to address remaining alignment issues, close gaps, and refine tooth positions for optimal aesthetics and function. The goal of Phase 2 treatment is to create a beautiful, well-aligned smile that will last a lifetime.

Adults

Age is no barrier to achieving the smile of your dreams.

Orthodontic treatment in adults can vary widely based on individual needs and goals, but two common approaches include touch-up cases and comprehensive treatment.

Each smile is as unique as a fingerprint, reflecting not only the physical characteristics of a person's teeth and lips but also their personality, emotions, and experiences. From the shape of the lips to the alignment of the teeth, no two smiles are exactly alike. Subtle nuances such as eye crinkles and facial expressions further personalize each smile, making it a distinctive feature that captures the essence of an individual.

Tune-Up Your Smile for Any Occasion

A touch-up case (Invisalign) or a limited case are relatively minor orthodontic treatments aimed at addressing specific concerns or making minor adjustments to the alignment of teeth. This type of treatment is shorter in duration and less involved compared to comprehensive treatment. Touch-up or limited cases may be recommended for adults who have previously undergone orthodontic treatment but have experienced minor relapse or have specific areas of concern that need attention. Common issues addressed in touch-up cases may include slight crowding, spacing, or minor bite discrepancies. Treatment options for touch-up or limited cases may include clear aligners, braces, or retainers, depending on the individual's needs and preferences.

All Encompassing from Beginning to End

Comprehensive orthodontic treatment in adults involves a more thorough and extensive approach to addressing a wide range of orthodontic issues. This type of treatment is typically recommended for adults with significant alignment issues, bite problems, or aesthetic concerns that require comprehensive correction. Comprehensive treatment aims to achieve a well-aligned bite, straight teeth, and an aesthetically pleasing smile that enhances facial harmony and function. Treatment options for comprehensive cases may include traditional braces, clear aligners, or other orthodontic appliances, depending on the complexity of the case and the desired outcome. Comprehensive treatment may take longer to complete compared to touch-up cases but offers comprehensive correction and long-lasting results.

Treatment Tailored to You

Whether it's a touch-up case to refine minor issues or comprehensive treatment to address more complex orthodontic issues, adults can benefit from orthodontic care at any age. With advancements in orthodontic technology and treatment techniques, adults can enjoy discreet, efficient, and effective orthodontic treatment options that fit their lifestyle and aesthetic preferences.

What We Treat

The Mystery of Your Smile

At Greater Oklahoma Orthodontics your smile is a mystery waiting to be solved! Imagine your teeth are characters in a storybook, and the orthodontist is the detective uncovering clues to solve the mystery of your smile before plaque, tooth decay, gum disease, and an improper bite wreaks havoc. Armed with cutting-edge tools, Dr. Ellis can craft a master plan to better your bite and brighten your smile!

Alignment Issues

Crowding

Crowding is a condition characterized by a lack of space in the dental arch resulting in teeth being misaligned or overlapping.

Spacing

Spacing issues refer to gaps or spaces between teeth that are larger than normal or desired. These spaces can occur due to various factors, including genetics, tooth size discrepancies, missing teeth, or abnormal growth of the jawbone.

Overjet

Overjet is where the upper front teeth protrude too far horizontally beyond the lower front teeth leading to various functional and aesthetic concerns.

Bite Issues

Class I

Class I malocclusion the upper teeth align properly with the lower teeth, but there may be other issues like crowding or spacing. While Class I malocclusion may not cause significant functional problems, it can still affect the appearance of your smile and result in difficulties keeping your teeth clean and healthy.

Class II

In Class II malocclusion (Overbite), the upper jaw decides to hog the spotlight, leaving its partner, the lower jaw, feeling a bit left out. It's like the upper jaw is trying to be the star of the show, but it ends up causing drama for your entire mouth.

Class III

In Class III malocclusion (Underbite), Your upper teeth take the lead, but the lower teeth refuse to follow, resulting in a drama. 

Open Bite

In an Open Bite the upper and lower teeth fail to meet one another when the jaws are closed, creating an opening that disrupts the harmony and function of your smile.

Deep Bite

In a Deep Bite the upper teeth take the lead with a bold and dramatic leap, descending gracefully over the lower teeth. However, instead of a gentle landing, they make an exaggerated plunge, creating a striking visual effect where the upper teeth extend far beyond the lower teeth.

Crossbite

A crossbite is a dental condition where some of the upper teeth sit inside the lower teeth when the jaw is closed. This misalignment can occur on one or both sides of the mouth and may involve the front or back teeth. Crossbites can lead to issues with tooth wear, gum recession, and jaw misalignment if not corrected.

Congenital Conditions

Congenital dental issues, such as missing teeth and cleft palate, present unique challenges that Dr. Ellis can address with the assistance of a multi-disciplinary team of dental providers.

Missing Lateral Incisors

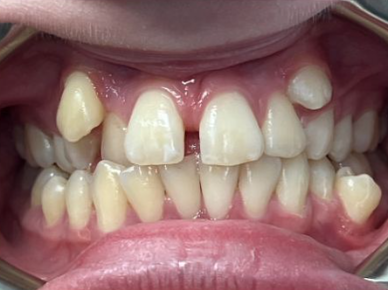
Missing Lateral Incisors: In cases with congenitally missing lateral incisors, one or both lateral incisors (the teeth next to the front teeth) are absent from birth. Dr. Ellis can close the gaps and/or create space for replacement solutions such as dental implants, bridges, or other prosthetics discussed between you and your general dentist.  (Picture of Congenitally Missing Incisors Before and After below or on the side)

Cleft Palate

Cleft Palate: A cleft palate is a congenital condition characterized by a gap or opening in the roof of the mouth. In these cases Dr. Ellis works closely with other dental specialists to help align the teeth and jaws improving bite function, supporting dental arch development, and preparing for eventual surgical correction of the cleft palate. These treatments are covered under current Soonercare rules and regulations.

Temporomandibular Disorder (TMD)

Temporomandibular Disorder (TMD) is a common condition that affects millions of Americans that results in chronic facial and neck pain, as well as severe, recurring headaches. TMD primarily involves the temporomandibular joints (TMJs), which connect your lower jawbone to your skull. These joints are constantly in use during the day and throughout the night as you speak, chew, swallow, yawn, clinch, or grind making them susceptible to pain and restricted movement when problems arise. A problem with your bite may be responsible for symptoms such as jaw pain, ear pain or ringing, headaches, clicking or popping sounds, or muscle spasms.

Balancing Your Bite

It's important to note that while jaw pain may indicate TMD, not all instances of jaw discomfort are TMD-related. However, there are preventive measures you can take to maintain a healthy smile and reduce the risk of TMD, such as practicing relaxation techniques, avoiding teeth grinding and gum chewing, maintaining good posture, and evenly distributing chewing on both sides of your mouth.

If you suspect you may have TMD or are experiencing any of the symptoms associated with it, don't hesitate to reach out to Dr. Ellis for guidance and support. By addressing TMD early and implementing appropriate treatment strategies, you can find relief from your symptoms and restore comfort and function to your jaw.

Orthodontics & Sleep Dentistry

Orthodontics plays a crucial role in addressing sleep apnea and other sleeping problems. Here's how orthodontics can make a difference:

Overall, orthodontics plays a vital role in the realm of sleep dentistry by offering innovative treatment options that target airway obstruction and promote better breathing patterns during sleep. By addressing underlying dental and skeletal issues that contribute to sleep apnea, orthodontic intervention can significantly improve the quality of life for individuals affected by this condition.

Navigating Obstructive Sleep Apnea

Specialized orthodontic appliances, such as mandibular advancement devices (MADs) or tongue-retaining devices, can be used to reposition the jaw and tongue during sleep, thereby preventing airway obstruction and reducing the severity of sleep apnea episodes. These appliances work by advancing the lower jaw forward or by holding the tongue in a forward position, helping to keep the airway open and promoting uninterrupted breathing during sleep.

In cases of severe obstructive sleep apnea (OSA) or when orthodontic appliances alone may not suffice, orthognathic surgery may be recommended. This surgical procedure involves repositioning the upper and/or lower jaw to improve the alignment of the airway and reduce airway obstruction during sleep. Orthodontic treatment is often an integral part of the pre- and post-surgical phases, helping to prepare the teeth and jaws for surgery and ensuring optimal functional and aesthetic outcomes.

Alleviating Airway Constriction

Orthodontic treatment aimed at expanding the dental arches and aligning the teeth can also contribute to improving breathing patterns and reducing the risk of sleep-disordered breathing. By creating adequate space within the oral cavity and optimizing the position of the tongue and soft tissues, orthodontic intervention can help alleviate airway constriction and promote more efficient breathing during sleep.

Partnering to Perfect Your Smile

Dr. Ellis regularly collaborates with a diverse team of healthcare professionals as part of our multidisciplinary approach to patient centered treatment. We routinely communicate with general dentists, oral surgeons, pediatric dentists, and other medical professionals to address any concerns you may have. We believe in the power of teamwork to achieve extraordinary results. As Henry Ford famously said, "Coming together is a beginning. Keeping together is progress. Working together is success." We welcome the opportunity to be a part of your individualized healthcare team.

Our Technology

Today, orthodontics benefits from a range of advanced technologies aimed at improving diagnosis, treatment planning, and patient experience. Cutting-edge tools such as iTero digital intraoral scanners are used in place of traditional dental impressions, offering precise 3D images of the teeth and gums without the discomfort (or mess) of traditional impressions. Intraoral scanners also facilitate communication between Dr. Ellis and the dental laboratories, allowing her to fabricate custom orthodontic appliances with precision and ease. Computer-aided design (CAD) software allows Dr. Ellis to simulate treatment from day you begin treatment to de-bond day, improving overall outcomes and reducing treatment time.

Made to Move

Equipped with the latest technology and techniques, we're constantly on the move, delivering exceptional care wherever you are. From our state-of-the-art diagnostic imaging systems to our cutting-edge iTero Scanner, every tool we utilize is chosen to provide personalized and affordable treatments that stand out in Oklahoma. Let us show you how personalized care and cutting-edge technology can improve your journey to a healthier, more confident smile.

Ready to Pick Your Side?

 

Team Braces or Team Aligners? No matter which you choose, one thing's for sure— orthodontic appliances play a crucial role in achieving an optimal bite and beautifully balanced smile. Whether you spring for metal brackets or go incognito with clear aligners, know that we are here to help you.

Invisalign & Clear Aligners

Clear aligner therapy involves the use of transparent, removable trays in lieu of traditional brackets and wires. Aligners are custom-made and tailored to each patient based on digital impressions or molds of their teeth. Throughout the treatment, patients transition through a series of aligners, typically changing them every two weeks. Each aligner iteration subtly adjusts the teeth, gradually guiding them into their optimal positions.

Trays are crafted from a smooth, transparent plastic material, and are virtually invisible when worn, offering a discreet alternative to traditional metal braces. This discretion makes them particularly appealing to individuals seeking to enhance their smiles without the noticeable appearance of braces.

Smile Goals

Clear aligner treatment can address various orthodontic concerns, including overcrowding, spacing issues, overbites, underbites, and crossbites. However, the success of treatment hinges on the patient's adherence to wearing the aligners as prescribed by their orthodontist and the experience level of the orthodontist themselves. Effective communication and collaborative teamwork between the patient and orthodontic team are integral to achieving optimal results.
Patients can anticipate regular check-ins with their orthodontist approximately every eight to ten weeks to monitor progress, receive new aligner trays, and ensure treatment is progressing smoothly. With Dr. Ellis at the helm, patients can say goodbye to clunky metal braces and hello to a stealthy smile upgrade!

Traditional Braces

Traditional braces are orthodontic appliances consisting of metal brackets and wires that are used to gradually straighten and align teeth. Brace yourself for a burst of color! If silver isn’t for you, we can custom fit gold brackets and wires. Feeling vibrant? We can customize your set-up with hues like electric blue or sunshine yellow. Feeling fancy? Pastel shades like baby pink or mint green are available to offer a softer, more subtle look that can be emphasized with clear brackets. If you're feeling extra creative, mix and match your colors for a totally unique style that screams "you"!

Surgical Orthodontics

Surgical orthodontics, also known as orthognathic surgery, is a specialized and comprehensive form of orthodontic treatment aimed at correcting severe cases involving complex craniofacial issues involving the mouth, jaw, face, and skull.

For those considering orthognathic surgery, the ultimate reward lies in achieving a beautiful, healthy smile that stands the test of time. Whether correcting a bad bite, malocclusion, or jaw abnormality, surgical orthodontics offers a pathway to renewed confidence and lifelong smiles.

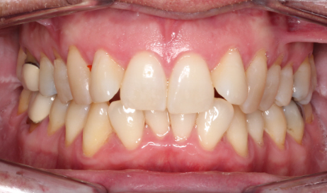
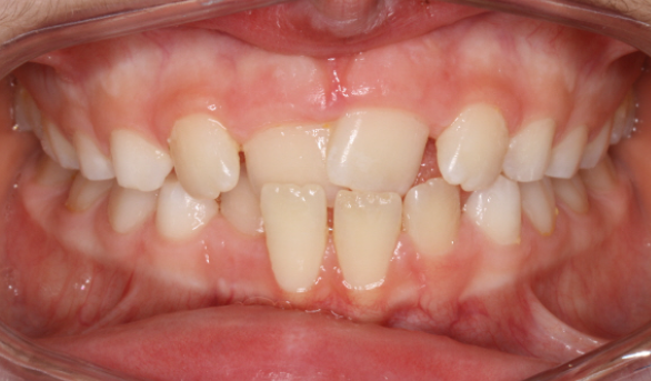
Before

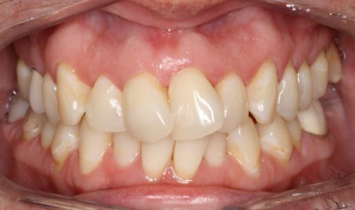
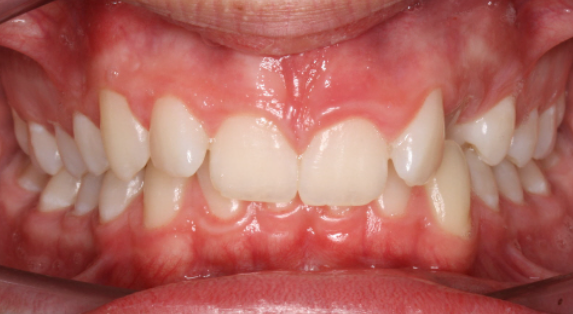
After